top of page

Open Hours:
Mon - Fri: 8:00am - 5:00pm

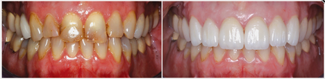
BEFORE AND AFTER
Why Choose Exceptional Dental Arts Lab?
With a focus on innovation and customer satisfaction, we aim to support your practice by delivering exceptional dental solutions. Partner with us for a seamless case planning experience that ensures superior results and happy patients.
Ready to plan your next case? [Contact Us] to get started!
bottom of page



















